به یاد فرزندان جاویدان این سرزمین

یادشان همواره در قلب این خاک زنده خواهد ماند

8 مضاعفات لتركيب الأسنان يجب أن تعرفها!
مقاله تخصصی

8 مضاعفات لتركيب الأسنان يجب أن تعرفها!

منذ 3 أسابيع
397 بازدید
الدكتور أزاده خالجيان

الدكتور أزاده خالجيان

طهران

جراح - طبيب أسنان

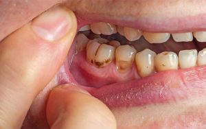
عوارض کامپوزیت دندان

يحظى عدد كبير من الأشخاص بالثقة في أحد أهم الأساليب المتخصصة ويمنحونهم عنوانًا واحدًا من أفضل شركاء طريقة إصلاح التصميم، وقد اجتذبت العديد من الاهتمامات الخاصة بهم. ولكن كما أن أي علاج يمكن أن يكون له عواقب إلى جانب الفوائد، فمن المهم جدًا معرفة مضاعفات مركب الأسنان. إن معرفة هذه المضاعفات لا تساعد الأشخاص على اتخاذ قرار أكثر استنارة بشأن الخضوع للعلاج فحسب، بل تجعلهم أيضًا يحصلون على نتيجة أكثر استدامة وصحة إذا اختاروا هذه الطريقة مع الرعاية المناسبة.

مركب الأسنان هو مادة راتنجية وبنفس لون السن تستخدم لتصحيح لون أو شكل أو كسور الأسنان جزئيا. على الرغم من أن هذه الطريقة أقل توغلاً من العديد من العلاجات التجميلية الأخرى، إلا أنها قد يكون لها في بعض الحالات عواقب على صحة الفم والأسنان. تتراوح هذه المضاعفات من تغير اللون الخفيف والحساسية إلى مشاكل أكثر خطورة مثل تسوس الأسنان أو التهاب اللثة. في الواقع، يعتمد حدوثها على عوامل مثل جودة المكونات المستخدمة ومهارة طبيب الأسنان والالتزام بالرعاية بعد العلاج. إن معرفة هذه الأمور يساعد الشخص على تكوين رؤية واقعية لفوائده وحدوده قبل اختيار العلاج.

مضاعفات الأسنان المركبة

يمكن مراجعة المضاعفات المتعلقة بـ مركبات الأسنان في فئتين عامتين: المضاعفات الشائعة التي قد يواجهها معظم المرضى وعادة ما يمكن السيطرة عليها من خلال الرعاية المناسبة، والمضاعفات الخطيرة التي تحدث بشكل أقل ولكن يمكن أن تؤثر بشكل خطير على صحة الأسنان واللثة في حالة حدوثها. إن معرفة هذه الأشياء قبل العلاج يساعد الأشخاص على الحصول على رؤية واقعية واتخاذ قرار أكثر استنارة.

الآثار الجانبية الشائعة لمركب الأسنان

هذه الفئة من المضاعفات أكثر شيوعًا بين المرضى ويمكن عادةً السيطرة عليها من خلال الرعاية المناسبة أو التصحيح من قبل طبيب الأسنان. ورغم أن خطورتها أقل من المشاكل الخطيرة، إلا أنه من الضروري أن تكون على دراية بها من أجل اتخاذ قرار مستنير.

1- عدم وجود بنية قوية مثل الأسنان الطبيعية

يعتبر مينا الأسنان وعاج الأسنان من أكثر أنسجة جسم الإنسان مقاومة، ولهما القدرة على تحمل الضغوط اليومية الناجمة عن مضغ الطعام. في المقابل، فإن الراتنجات المركبة، على الرغم من التحسينات الكبيرة في جودة المواد، لا تزال لا تصل إلى مستوى الأسنان الطبيعية من حيث القوة والمتانة. تتسبب نفس المشكلة في أن تصبح المواد المركبة في نهاية المطاف متشققة أو شقوق صغيرة أو حتى مكسورة، خاصة عند الأشخاص الذين لديهم عادة مضغ الأطعمة الصلبة مثل الثلج أو المكسرات أو طحن أسنانهم. ولذلك، فإن القوة الأقل هي أحد القيود الرئيسية لهذه الطريقة.

2- حدوث عدم تناسق في لون ومظهر الأسنان

لون ومظهر الأسنان

من أهم توقعات مرضى الكومبوزيت هو الحصول على ابتسامة متناغمة وطبيعية. لكن إذا لم يتم اختيار اللون بشكل صحيح أو لم تكن عملية التلميع النهائية للأسنان دقيقة، فإن احتمال رؤية الفرق بين الأسنان المركبة والأسنان الطبيعية يزداد. وحتى في بعض الحالات، قد يؤدي تغير لون الأسنان الطبيعي مع مرور الوقت إلى زيادة هذا التنافر. ولهذا السبب، لتحقيق أفضل النتائج، يوصى بأن يتم تنفيذ العمل بواسطة طبيب أسنان ذي خبرة باستخدام مواد عالية الجودة.

3- التسبب في حساسية الأسنان

تعتبر حساسية الأسنان من أكثر المشاكل شيوعاً بعد الكمبوزيت. عادة ما يتم الشعور بهذه الحساسية عند شرب السوائل الباردة أو الساخنة، أو حتى عند استنشاق الهواء البارد. يمكن أن يكون سبب هذه المشكلة هو تحضير سطح السن قبل الربط، أو قرب طبقة الراتنج من أنسجة العاج، أو المطابقة غير الكاملة للمركب مع مينا الأسنان. ولحسن الحظ، في معظم الحالات، تكون هذه الحساسية مؤقتة وتقل بعد بضعة أسابيع، أما إذا استمرت لفترة طويلة فيجب فحصها عند طبيب الأسنان.

4- تغيير لون ومظهر التركيبة السنية

أحد أهم عيوب المركب مقارنة بصفائح السيراميك هو قلة مقاومته لتغير اللون. سطح الراتنجات المركبة أكثر مسامية من السيراميك، وهذا يسبب البقع الناتجة عن استهلاك القهوة والشاي والمشروبات الملونة والتبغ. حتى لو لم يتم اتباع نظافة الفم بشكل جيد، هناك احتمالية لتراكم البلاك وتغيير مظهر المركب. وعلى الرغم من أن هذه المشكلة يمكن حلها إلى حد ما عن طريق التلميع والتقشير الاحترافي، إلا أنه بشكل عام يعد التغير التدريجي في اللون أحد الآثار الجانبية التي لا مفر منها لهذا العلاج.

الآثار الجانبية الخطيرة لمركب الأسنان

على عكس المضاعفات الشائعة، تحدث هذه المشكلات بشكل أقل، ولكن إذا حدثت فإنها يمكن أن تؤثر بشكل خطير على صحة الأسنان أو اللثة أو حتى مفصل الفك. يعد الوعي بهذه المضاعفات وتشخيصها في الوقت المناسب أمرًا مهمًا جدًا لمنع حدوث أضرار طويلة المدى.

1- الشعور بالألم وعدم الراحة

الشعور ألم وانزعاج في الأسنان

في بعض الأحيان بعد إجراء المركب يشعر المرضى بالألم وعدم الراحة عند المضغ أو حتى في الحالة الطبيعية. يمكن أن يكون سبب هذه المشكلة وضع المركب بشكل غير صحيح، أو الضغط الإضافي على الأسنان أو المواد الرابطة المتبقية على حواف الأسنان. إذا استمرت هذه الحالة، يجب على طبيب الأسنان فحص الوضع، وإذا لزم الأمر، تصحيح سطح المركب أو الإطباق (الملامسة بين الأسنان).

2- حدوث الصدمات أو الأضرار

إذا تم تركيب المركب دون مراعاة الحالة العامة للفك والأسنان، فقد يؤدي ذلك إلى ممارسة ضغط غير متماثل على الأسنان. على المدى الطويل، يمكن أن تؤدي هذه الضغوط إلى تشقق الأسنان المقابلة، أو مشاكل في المفصل الصدغي الفكي (TMJ)، أو حتى كسر المركب نفسه. وعلى الرغم من أن هذا أمر نادر الحدوث، إلا أنه في حالة حدوثه، سيكون علاجه أكثر تعقيدًا من المضاعفات الشائعة.

3- التهاب والتهاب أنسجة اللثة

تُعد المركبات ذات الحواف الخشنة أو المرتفعة أماكن سهلة لتراكم البلاك. ويؤدي هذا التراكم مع مرور الوقت إلى احمرار وتورم ونزيف اللثة. إذا ترك التهاب اللثة دون علاج، فقد يؤدي إلى عدوى أكثر تقدمًا (التهاب اللثة)، مما يهدد صحة الأنسجة الداعمة للأسنان بأكملها. وللوقاية من هذه المشكلة من المهم جداً الحرص على تركيب المركب وزيارة طبيب الأسنان بشكل دوري.

4- تسوس الأسنان

tooth الاضمحلال

من أخطر المضاعفات تسوس الأسنان تحت المركب. إذا لم تكن الرابطة بين الراتينج والمينا مثالية أو إذا تطورت شقوق مجهرية عند الحواف بمرور الوقت، فيمكن للبكتيريا وجزيئات الطعام أن تتغلغل تحت المركب. عادة ما يتم اكتشاف هذا التسوس في وقت متأخر لأنه غير مرئي بالعين وليس له أعراض واضحة حتى يصل إلى مرحلة متقدمة جدًا. ولهذا السبب فإن الفحوصات الدورية تلعب دوراً هاماً في الوقاية من هذه المشكلة.

طرق الوقاية من مركب الأسنان المضاعفات

من خلال مراعاة بعض المبادئ البسيطة والاهتمام بتوصيات الخبراء، يمكن تقليل احتمالية حدوث المشكلات الناجمة عن المواد المركبة. الوقاية دائماً أبسط وأرخص من العلاج وتلعب دوراً مهماً في إطالة عمر طريقة التجميل هذه.

طرق علاج مضاعفات الأسنان المركبة

معالجة الأسنان المركبة

في حالة وجود مشاكل بعد الكمبوزيت، هناك علاجات مختلفة يمكن إجراؤها من خلال زيارة طبيب الأسنان. وتساعد هذه الطرق في الحفاظ على متانة وصحة الابتسامة ومنع الإصابات الخطيرة.

  • تصحيح أو إصلاح المواد المركبة المتشققة أو المملوءة
  • استبدال التركيبات المتغيرة اللون أو غير المتوافقة بأسنان طبيعية
  • استخدام العلاجات المضادة للحساسية لتقليل حساسية الأسنان
  • تنظيف وتلميع احترافي لإزالة البقع وإنشاء سطح أملس
  • علاج التسوس تحت الكمبوزيت بالحشو المناسب
  • تصحيح تناقضات الإطباق أو الضغط غير الطبيعي على الأسنان
  • علاج التهاب اللثة أو عدوىها بالعناية المتخصصة بالأسنان
  • متابعة ومراقبة دورية لمنع تكرار المضاعفات

بعض الظروف والعادات الخاصة تجعل من تركيبات الأسنان خيارًا غير مناسب وتزداد خطورة حدوث مضاعفات.

  • الأشخاص الذين يعانون من طحن شديد أو ضغط مفرط على الأسنان
  • أولئك الذين لا يراعون نظافة الفم والأسنان بانتظام.
  • المرضى الذين يعانون من تسوس الأسنان أو تلف خطير في مينا الأسنان
  • الأشخاص الذين لديهم تاريخ من الحساسية الشديدة أو الحساسية تجاه المواد الراتنجية.
  • المرضى الذين يتغير لون أسنانهم الطبيعية بسرعة.
  • الأشخاص الذين يتوقعون البقاء لفترة طويلة دون رعاية.

إزالة الأسنان المركبة

عادةً ما تتم عملية إزالة الأسنان المركبة لأسباب مثل الاستبدال أو التلف أو تغير اللون، ولكن هذه العملية يمكن أن تترافق مع المخاطر. عند إزالة المركب، إذا لم يتم اتخاذ العناية الكافية، فهناك احتمالية تلف مينا الأسنان الطبيعية. يمكن أن تسبب هذه الإصابات حساسية في الأسنان، أو تشقق الشفاه، أو حتى شقوقًا صغيرة تتطلب إصلاحًا أو حشوًا إضافيًا على المدى الطويل.
بالإضافة إلى تلف المينا، يمكن أن تسبب إزالة المركب التهابًا مؤقتًا في اللثة أو تهيجًا للأنسجة الرخوة في الفم. إذا تم إجراء هذه العملية من قبل شخص غير متخصص، فإن احتمالية بقاء جزيئات الراتنج المتبقية والتسبب في تسوس تحت سطح السن تزداد أيضًا. لذلك فإن زيارة طبيب أسنان ذو خبرة والعناية بعد إزالة الكمبوزيت أمر في غاية الأهمية للحفاظ على صحة ومظهر الأسنان.

تتراوح متانة القشرة المركبة عادة بين 5 و 10 سنوات وتتأثر هذه الفترة بعوامل مثل جودة المواد ومهارة طبيب الأسنان ونوع التغذية والعناية اليومية. على الرغم من أن المواد المركبة لها مظهر طبيعي وجميل، إلا أنها مع مرور الوقت قد يتغير لونها أو تتلاشى أو تقل شفافيتها، وهي جزء من الآثار الجانبية الطبيعية والتدريجية المرتبطة بعمر هذا العلاج.
أيضًا، خلال فترة الصلاحية، يمكن أن تؤثر بعض المشكلات المحتملة مثل حساسية الأسنان أو الشقوق الصغيرة على مظهر وأداء المركب. مع الرعاية المناسبة، بما في ذلك نظافة الفم والأسنان، وتجنب الضغط المفرط أو مضغ الأشياء الصلبة، والزيارات المنتظمة لطبيب الأسنان، يمكنك زيادة عمر المركب ومنع حدوث مضاعفات خطيرة.

صفائح الأسنان والمركب

يعد كل من مركب الأسنان والصفائح من الطرق الشائعة لتحسين تصميم الابتسامة، ولكن لاتخاذ قرار أفضل، مع العلم صفح الفرق والمركب مهم جداً من حيث المتانة والمقاومة ومقدار الغزو للأسنان. المركب أقل عدوانية من الصفائح ويتطلب طحنًا أقل لمينا الأسنان، لكن مقاومته ومتانته أقل وأكثر عرضة لتغير اللون وتغير لون الشفاه وحساسية الأسنان. من ناحية أخرى، تعتبر صفائح السيراميك أكثر متانة وأكثر مقاومة للبقع والضغط، ولكن عملية تركيبها أكثر عدوانية وتكلف أكثر.
ونتيجة لذلك، يجب أن يتم الاختيار بين المركب والصفائح بناءً على حالة الأسنان والهدف الجمالي والميزانية ومستوى التسامح. إذا كان الشخص يبحث عن علاج بسيط وسريع وقابل للإصلاح، فإن المركب هو الخيار المناسب؛ ولكن إذا كانت المتانة طويلة الأمد والمقاومة الأكبر لتغير اللون هي الأولوية، فإن الرقائق هي الخيار الأفضل.

الاستنتاج

تعد تركيبات الأسنان من الأساليب الشائعة لتصحيح لون وشكل الأسنان، ولها العديد من المزايا، ولكنها قد تترافق مع آثار جانبية شائعة وخطيرة في بعض الأحيان. ومن خلال اختيار طبيب أسنان متخصص، ومراقبة النظافة والرعاية بعد العلاج، يمكن تقليل مخاطر هذه المضاعفات وزيادة عمر المركب. إن الوعي الكامل بهذه المضاعفات يساعد الأشخاص على اتخاذ قرار مستنير وواثق بشأن ابتسامتهم.

الأسئلة المتداولة

1- ما هي مضاعفات الأسنان الأمامية المركبة؟

قد يشمل ذلك تغير اللون، وتورم الشفاه، وحساسية الأسنان.

2- ما هي الآثار الجانبية لإزالة تركيبات الأسنان؟

يمكن أن يسبب تلف مينا الأسنان أو الحساسية أو التهاب اللثة.

3- هل المركب يضر بالسن؟

في حالة عدم العناية أو الضغط الزائد، هناك احتمالية للتشقق أو تغير اللون.

4- ما هي مدة استمرار مضاعفات القشرة المركبة؟

عادة ما بين 5 إلى 10 سنوات، قد يكون مصحوبًا بتغير تدريجي في اللون وشحوب الشفاه.

اشتراک‌گذاری:

مقالات مرتبط

مقالات دیگر از الدكتور أزاده خالجيان

37 مقاله
مضاعفات زراعة الأسنان: من العدوى إلى طرق الوقاية
مطالعه بیشتر

مضاعفات زراعة الأسنان: من العدوى إلى طرق الوقاية

۴ آذر, ۱۴۰۴ أتينا رضوي دیدگاه: 0...

منذ 3 أسابيع بخوانید
مبراة الأسنان لصفح الأسنان
مطالعه بیشتر

مبراة الأسنان لصفح الأسنان

ما هي الأسباب التي تجعل من هذه الأشياء أقل من مجرد ضربات؟ما مدى قدرة تراش دندان على عدم قدرته وما هو اختياره؟نحوه را...

منذ 3 أسابيع بخوانید
كيف تتم عملية تصفيح الأسنان للحامل؟
مطالعه بیشتر

كيف تتم عملية تصفيح الأسنان للحامل؟

۲۶ بهمن, ۱۴۰۳ أتينا رضوي دیدگاه: 0...

منذ 3 أسابيع بخوانید
ما هي أسباب ومضاعفات طحن الأسنان للكومبوزيت؟
مطالعه بیشتر

ما هي أسباب ومضاعفات طحن الأسنان للكومبوزيت؟

۱۵ آذر, ۱۴۰۴ Atena Razavi دیدگاه: 0...

منذ 3 أسابيع بخوانید
ما هي صفائح الأسنان القابلة للإزالة أو Snap-on Smile؟
مطالعه بیشتر

ما هي صفائح الأسنان القابلة للإزالة أو Snap-on Smile؟

۱۶ اردیبهشت, ۱۴۰۴ Atena Razavi دیدگاه: 0...

منذ 3 أسابيع بخوانید
ما هي زراعة الأسنان الأمامية؟ الدليل الكامل + السعر
مطالعه بیشتر

ما هي زراعة الأسنان الأمامية؟ الدليل الكامل + السعر

۱ شهریور, ۱۴۰۴ أتينا رضوي دیدگاه: 0...

منذ 3 أسابيع بخوانید
دليل شامل لالتهاب محيط الظهر وطرق علاجه
مطالعه بیشتر

دليل شامل لالتهاب محيط الظهر وطرق علاجه

۲۶ بهمن, ۱۴۰۳ مهدیه اسماعيلی دیدگاه: 0...

منذ 3 أسابيع بخوانید
زراعة الأسنان بدون زراعة: بديل سريع وبأسعار معقولة لابتسامتك
مطالعه بیشتر

زراعة الأسنان بدون زراعة: بديل سريع وبأسعار معقولة لابتسامتك

۱۲ آذر, ۱۴۰۴ أتينا رضوي دیدگاه: 0...

منذ 3 أسابيع بخوانید
ما هو مركب أسنان الأرنب ولمن ينصح به؟
مطالعه بیشتر

ما هو مركب أسنان الأرنب ولمن ينصح به؟

13 شهریور, ۱۴۰۴ أتينا رضوي دیدگاه: 0...

منذ 3 أسابيع بخوانید
تعرف على 9 آثار جانبية لتبييض الأسنان!
مطالعه بیشتر

تعرف على 9 آثار جانبية لتبييض الأسنان!

۹ شهر, ۱۴۰۴ أتينا رضوي دیدگاه: 0...

منذ 3 أسابيع بخوانید
هل المركب يسبب تسوس الأسنان؟
مطالعه بیشتر

هل المركب يسبب تسوس الأسنان؟

۱۹ آذر, ۱۴۰۴ أتينا رضوي دیدگاه: 0...

منذ 3 أسابيع بخوانید
كم من الوقت يستمر تبييض الأسنان؟
مطالعه بیشتر

كم من الوقت يستمر تبييض الأسنان؟

۵ شهر, ۱۴۰۴ أتينا رضوي دیدگاه: 0...

منذ 3 أسابيع بخوانید
العناية بعد تركيب الأسنان
مطالعه بیشتر

العناية بعد تركيب الأسنان

۲۹ اسفند, ۱۴۰۳ أتينا رضوي دیدگاه: 0...

منذ 3 أسابيع بخوانید
تجويف الأسنان الجاف الأعراض والأسباب والعلاج السريع وطرق الوقاية
مطالعه بیشتر

تجويف الأسنان الجاف الأعراض والأسباب والعلاج السريع وطرق الوقاية

۲۸ آبان, ۱۴۰۴ أتينا رضوي دیدگاه: 0...

منذ 3 أسابيع بخوانید
كل شيء عن حياة صفائح الأسنان؛ من الاختيار الصحيح إلى الرعاية الحرجة
مطالعه بیشتر

كل شيء عن حياة صفائح الأسنان؛ من الاختيار الصحيح إلى الرعاية الحرجة

۱۹ آبان, ۱۴۰۴ أتينا رضوي دیدگاه: 0...

منذ 3 أسابيع بخوانید
ماذا نأكل وماذا لا نأكل بعد تركيب الأسنان؟
مطالعه بیشتر

ماذا نأكل وماذا لا نأكل بعد تركيب الأسنان؟

۳ دی, ۱۴۰۴ أتينا رضوي دیدگاه: 0...

منذ 3 أسابيع بخوانید
ما هو الصفائح الكريستالية وكيف تختلف عن الصفائح العادية والمركبة؟
مطالعه بیشتر

ما هو الصفائح الكريستالية وكيف تختلف عن الصفائح العادية والمركبة؟

۱۲ مهر, ۱۴۰۴ Atena Razavi دیدگاه: 0...

منذ 3 أسابيع بخوانید